Месяц: Декабрь 2021

Риск втягивания десны

Помимо причин удаления десен, существуют определенные факторы, которые в конечном итоге могут вызвать это изменение. Некоторые из них связаны с конституцией человека и неизбежны, другие — с внешними причинами и могут быть сведены к минимуму. Ниже перечислены основные факторы риска:

Читать дальше
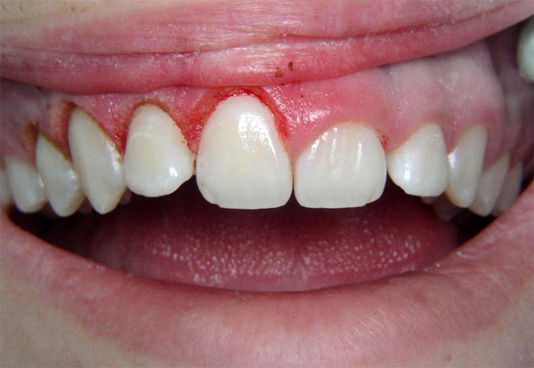
Вытянутые дёсны

Извлечение десен, также известное как рецессия десен, является одним из наиболее распространенных стоматологических заболеваний. С одной стороны, это эстетическая проблема, но если ее не лечить, это может иметь серьезные последствия для здоровья полости рта пациента.

Читать дальше
Тремор глаз: причины

Почти все из нас испытали внезапное, непроизвольное дрожание в одном глазу, которое заставляет веко двигаться только как тиканье и прерывисто, но без полного закрытия глаза. Многие удивляются, почему это происходит, и, к счастью, в большинстве случаев дрожь исчезает в течение нескольких минут, как вдруг, как только она появилась.

Читать дальше
Первый менструальный период

Первый менструальный период у женщины является важным этапом полового созревания, так как ее организм готовится к переходу от детства к взрослой жизни. Это первое кровотечение называется менархе и обычно происходит в возрасте от 10 до 14 лет, в зависимости от женщины.

Читать дальше
Тиреоидная офтальмопатия – причины и симптомы

Глаза — это важнейшие органы человека, необходимые для нормальной жизни, которые из-за своего воздействия подвергаются различным видам агрессии. Хотя подавляющее большинство из них не являются серьезными проблемами, другие расстройства имеют более сложное развитие, которое может даже поставить под угрозу их функционирование. Щитовидная железа — это железа, которая секретирует и хранит гормоны и выполняет многие функции, […]

Читать дальше